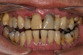
Diabetics increases the risk of severe periodontal disease. Poorly controlled Type 2 Diabetes are more likely to develop periodontal disease than well controlled diabetics are. Studies conclude that poorly controlled diabetics respond differently to bacterial plaque at the gum line than well controlled diabetics and non-diabetics. Poorly controlled diabetics have more harmful proteins (Cytokines) in their gingival tissue, causing destructive inflammation of the gums. Beneficial proteins (Growth Factors) are reduced interfering with the healing response to infection. Diabetics tend to loose collagen, a protien that supports gums, skin, tendon, cartilage and bone, in their gum tissue thus hastening periodontal destruction. Vascular disorders like reduced circulation in tiny blood vessels in the gums interferes with nutrition and healing in the gum tissues. Young people with Type 1 Diabetes, especially those with poor control are very vulnerable to early-onset periodontal disease as they reach puberty. Diabetics subjects have more deeper pockets between teeth, which indicates moderate to advanced gum disease.
High blood glucose levels help germs to build up on the teeth and gums and make these problems worse leading to loss of teeth. Increased serum Triglyceride levels in uncontrolled diabetics seems to be related to greater attachment loss and probing depths, which are measures of periodontal disease.
The prospects for fighting periodontal disease are excellent as there are many things that diabetic patients can do to stop the process or correct the disease once it starts :
1. Good Blood Glucose Control : The degree of blood glucose control appears to have a direct relationship to the severity of periodontal disease.
2. Oral Hygeine : Dental check up and scaling (if required) at every six months and in case patient has periodontal disease, then check ups should be held every three months.
3. Watch for Warning signs : Bleeding gums while eating , brushing or flossing. Abnormal changes in mouth such as soreness, bright red gums and tenderness. Receeding gums and teeth looking long, chronic bad breath, ill fitting dentures or any other symptoms. White patches on gums indicate fungal infection (Thrush).
4. Avoid smoking, chewing tobacco etc.
5. Keep Cholesterol and Triglyceride level under control.
High blood glucose levels help germs to build up on the teeth and gums and make these problems worse leading to loss of teeth. Increased serum Triglyceride levels in uncontrolled diabetics seems to be related to greater attachment loss and probing depths, which are measures of periodontal disease.
The prospects for fighting periodontal disease are excellent as there are many things that diabetic patients can do to stop the process or correct the disease once it starts :
1. Good Blood Glucose Control : The degree of blood glucose control appears to have a direct relationship to the severity of periodontal disease.
2. Oral Hygeine : Dental check up and scaling (if required) at every six months and in case patient has periodontal disease, then check ups should be held every three months.
3. Watch for Warning signs : Bleeding gums while eating , brushing or flossing. Abnormal changes in mouth such as soreness, bright red gums and tenderness. Receeding gums and teeth looking long, chronic bad breath, ill fitting dentures or any other symptoms. White patches on gums indicate fungal infection (Thrush).
4. Avoid smoking, chewing tobacco etc.
5. Keep Cholesterol and Triglyceride level under control.

Nice blog site!!Any one can get information about cosmetic dentistry here.I can easily understand the blog.
ReplyDeleteCosmetic Dentist Las Vegas